Written and produced by Mike Nicholas League Against Cruel Sports Press Office on 01483 524250 or email pressoffice@league.org.uk The police and animal welfare charities have teamed up to tackle a disturbing crime involving teenagers killing or injuring waterfowl with powerful catapults and being fuelled by boasts on social media. The first meeting of the Operation Lakeshot […]


The police and animal welfare charities have teamed up to tackle a disturbing crime involving teenagers killing or injuring waterfowl with powerful catapults and being fuelled by boasts on social media.
The first meeting of the Operation Lakeshot working group took place last week and vowed to clamp down on the practice and to look at ways of tackling it – one issue is the ease in which powerful catapults can be bought without any age restrictions.
The group was brought together and is chaired by Russ Middleton, head of intelligence at the League Against Cruel Sports and contains police officers from the National Wildlife Crime Unit, and representatives from the RSPCA , Swan Lifeline, and East Sussex Wildlife Rescue Ambulance Service
The crime is primarily taking place in urban settings and a League Against Cruel Sports investigation found evidence of a ‘Tik Tok trend’ of teenage boys filming and sharing reports of it on the social media platform.
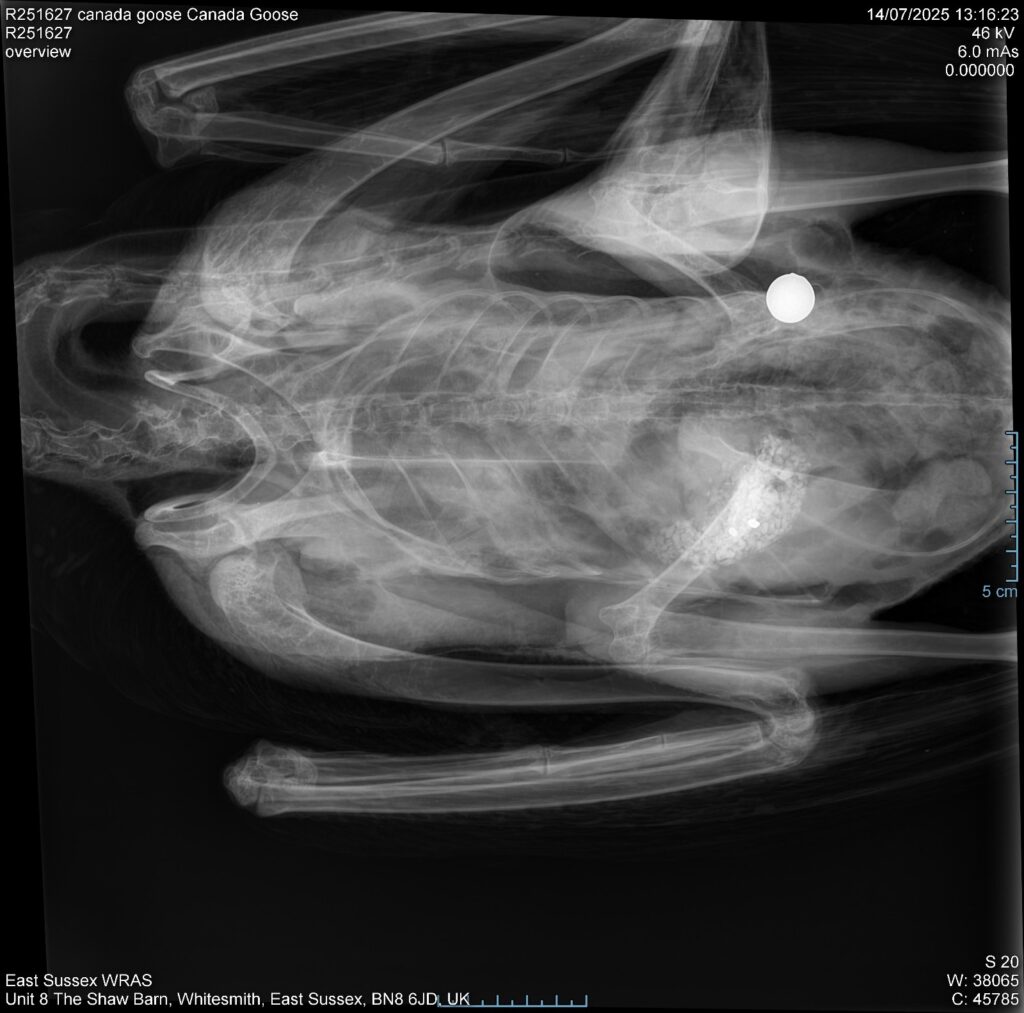
Russ said: “The use of powerful catapults shooting steel ball bearings is inflicting catastrophic injuries and killing waterfowl such as swans, geese, and ducks in our parks and on our waterways.
“This cruel practice needs to stop. The Operation Lakeshot working group brings together police and charities to raise awareness of the problem.
“One solution would be to review the law and to call on sellers of catapults to check the age of people buying these potentially dangerous weapons. They are weapons not toys, and should be treated in a similar way to guns and knives.”
DI Mark Harrison of the National Wildlife Crime Unit (NWCU) said: “These crimes are not just causing deaths and horrific injuries to wildlife. There is also a significant risk to people and property in the areas where these crimes are being committed and this normalisation of violence has further consequences as a gateway to other crimes. We all know that there is a clear link between people who are cruel to animals also being violent towards people.
“Strong appropriate legislation is important and so is early intervention. The NWCU is committed to protecting our wildlife and the communities that enjoy it.
“We will be working with partner agencies and coming together to prevent people from engaging in this crime and to support law enforcement. That includes pursing those people sharing footage of these crimes online”
Anyone seeing catapult crime being inflicted on waterfowl is being urged to phone 999 if the incident is urgent and 101 to report a crime that has already happened, ensuring they also contact the League Against Cruel Sports Animal Crimewatch service that is gathering intelligence on the issue.
Russ added: “It’s vitally important that the public report these horrific animal crimes so we can get the whole picture on what is happening and take the steps to stamp it out.”
For more information on Operation Lakeshot please click HERE.
Ends
Notes to editors
For information or interview requests, please contact the League Against Cruel Sports Press Office on 01483 524250 or email pressoffice@league.org.uk
For more information on East Sussex WRAS involvement please contact Trevor Weeks MBE on 07931523958 (ignore the on-call answerphone and leave a message) or e-mail trevor@eastsussexwras.org.uk.
The League Against Cruel Sports is Britain’s leading charity that works to stop animals being persecuted, abused and killed for sport. The League was instrumental in helping bring about the landmark Hunting Act 2004, the Animal Welfare (Sentencing) Act 2021, the Hunting with Dogs (Scotland) Act 2023 and bans on the use of snares brought about by the Agriculture (Wales) Act 2023, and Wildlife Management and Muirburn (Scotland) Act 2024.
We carry out investigations to expose law-breaking and cruelty to animals and campaign for stronger animal protection laws and penalties. We work to change attitudes and behaviour through education and manage wildlife reserves. Find out more about our work at www.league.org.uk. Registered charity in England and Wales (no.1095234) and Scotland (no.SC045533).
